Metamorfozy

ProSmile

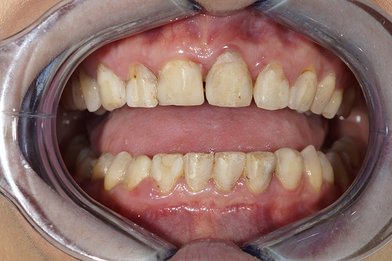
Jak zmieniają się uśmiechy naszych pacjentów
Zmień i swój usmiech!

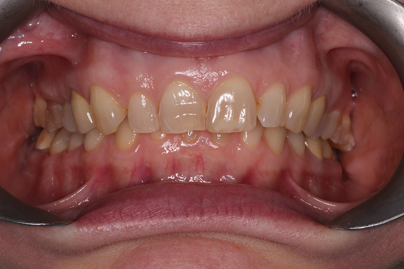
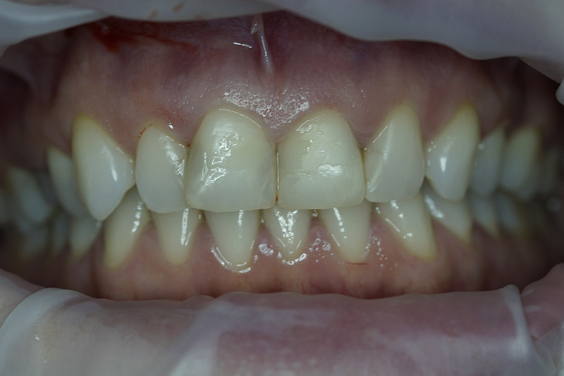
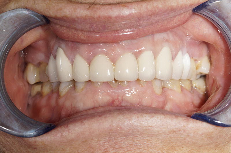
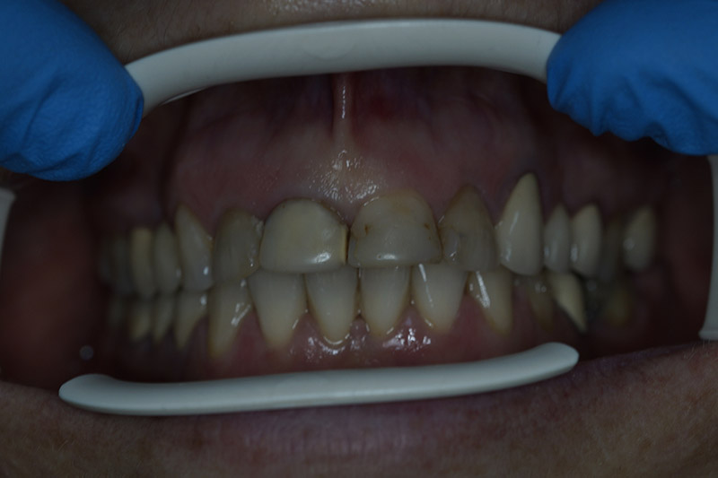
Original Image Przed
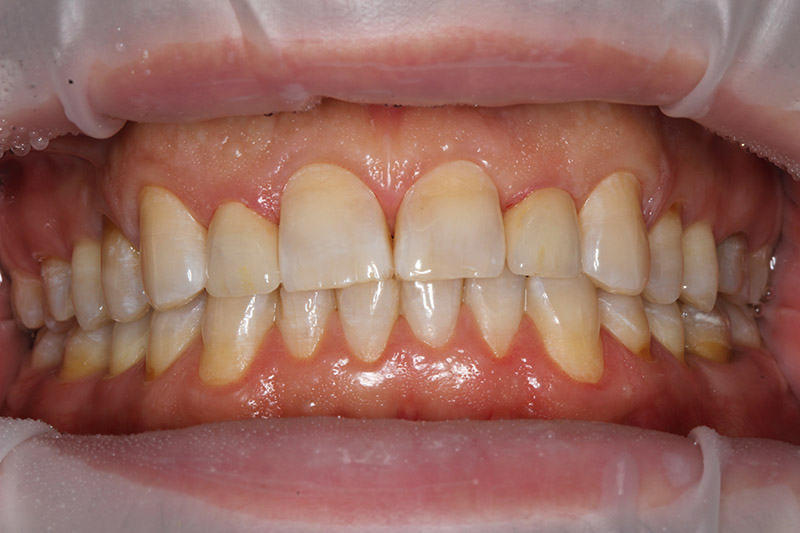
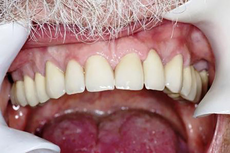
Modified Image Po
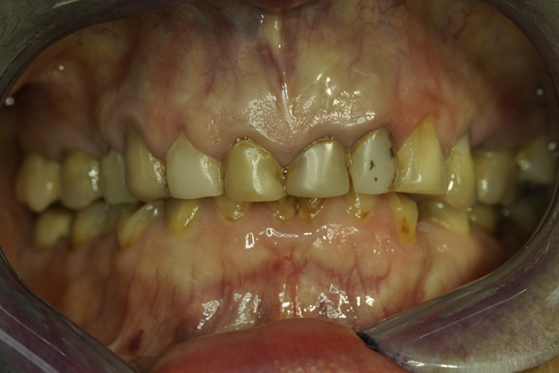
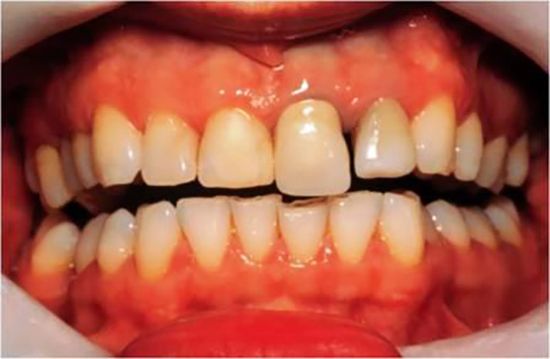
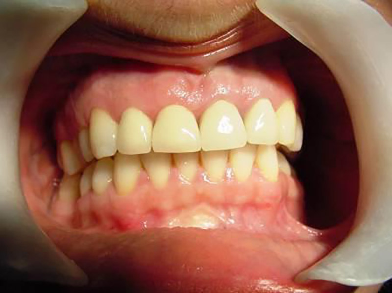
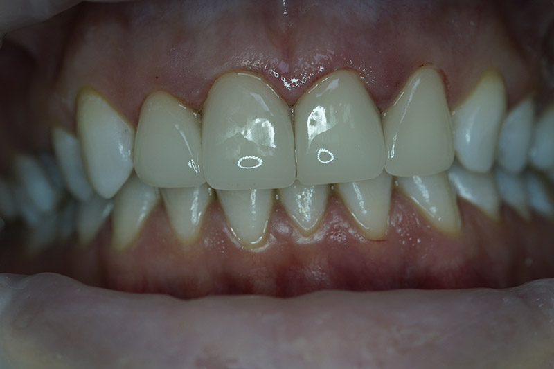
Original Image Przed
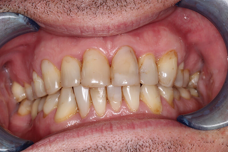
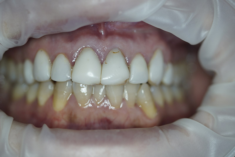
Modified Image Po
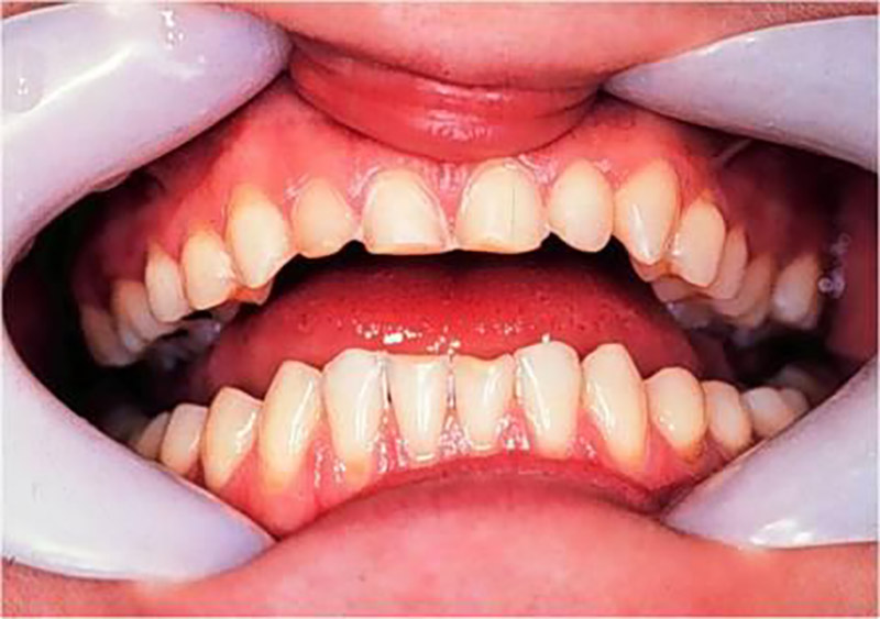
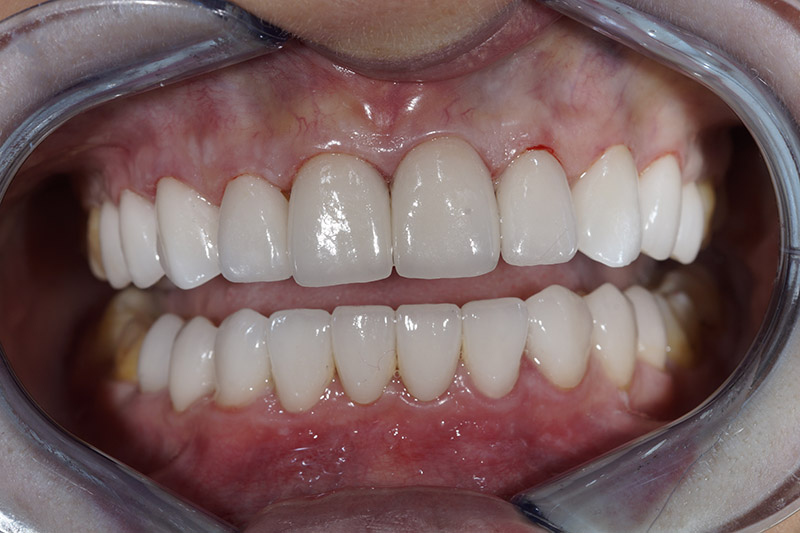
Original Image Przed
Modified Image Po
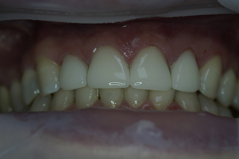
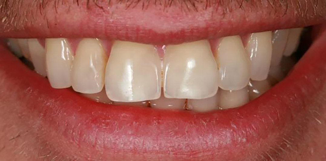
Original Image Przed
Modified Image Po
Original Image Przed
Modified Image Po
Original Image Przed
Modified Image Po
Original Image Przed
Modified Image Po
Original Image Przed
Modified Image Po
Original Image Przed
Modified Image Po
Original Image Przed
Modified Image Po
Original Image Przed
Modified Image Po
Original Image Przed
Modified Image Po

Skontaktuj się z nami i umów się
na wizytę w gabinecie

Skontaktuj się z nami, by umówić się na wizytę. Podaruj sobie zdrowe, mocne zęby
Pro Smile
wyznacz trasę

Gabinet ProSmile

Zachęcam Państwa do skorzystania z usług stomatologicznych Praktyki Dentystycznej przy ulicy Wilczej 5 w Warszawie. Zapewniam leczenie stomatologiczne na najwyższym poziomie oraz fachowe i pomocne konsultacje z zakresu protetyki, implantologii oraz innych dziedzin stomatologii.

Kontakt z nami:

Adres:

  • ul. Wilcza 5, lok. 14, Warszawa
Umów wizytę
Przegląd prywatności

Ta strona korzysta z ciasteczek, aby zapewnić Ci najlepszą możliwą obsługę. Informacje o ciasteczkach są przechowywane w przeglądarce i wykonują funkcje takie jak rozpoznawanie Cię po powrocie na naszą stronę internetową i pomaganie naszemu zespołowi w zrozumieniu, które sekcje witryny są dla Ciebie najbardziej interesujące i przydatne.

Ściśle niezbędne ciasteczka

Niezbędne ciasteczka powinny być zawsze włączone, abyśmy mogli zapisać twoje preferencje dotyczące ustawień ciasteczek.

Ciasteczka stron trzecich

Ta strona korzysta z Google Analytics do gromadzenia anonimowych informacji, takich jak liczba odwiedzających i najpopularniejsze podstrony witryny.

Włączenie tego ciasteczka pomaga nam ulepszyć naszą stronę internetową.